
Introduction:
Causes
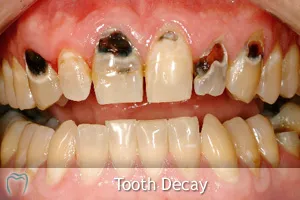
Tooth decay takes place due to a process called ‘demineralisation’. The term simply describes the fact that minerals (like calcium compounds) are leached (dissolved away) from a tooth’s hard tissues (enamel, dentine and cementum). The acids that cause cavities in teeth are produced by specific types of bacteria which live in dental plaque. Dental plaque not only provides a home for bacteria, but it also acts as a medium that holds the acid they produce directly against a tooth’s surface.
These bacteria are living organisms just like us. When we eat and drink, we create waste products. Bacteria do exactly the same! The bacteria that cause tooth decay use sugars as their food source. The waste products created during the metabolism of these sugars are the acids which cause the demineralisation of tooth enamel and dentine.
Since the bacteria that live in our mouth eat when we do, as we consume foods which contain sugar, these bacteria get fed also. Within minutes they start producing the acids which cause tooth decay. In the case of teeth, demineralisation takes place as a process (over a period of time) due to the repeated exposure of a tooth’s surface to acids.
A person doesn’t develop cavities just overnight. It typically takes months, even years for a cavity to develop. This is because conditions aren’t always right for the tooth demineralisation process. Tooth decay forms beneath dental plaque. A cavity forms as a result of repeated acid attacks. There has to be both dental plaque and dietary sugars present for tooth decay to occur. These conditions don’t always exist but each time they do some tooth demineralisation will occur.
Over time there can be a point where the cumulative effect of each episode of demineralisation has resulted in the formation of a cavity in the tooth.
Who is at risk?
We all are! However, there are times in life when we seem to have the greatest difficulty with the occurrence of tooth decay. They are:
Childhood: Both children and yound adults.
Adulthood: Senior citizens and also those adults who have had, or have been treated for, periodontal disease (gum disease).
Prevention
The prevention of dental caries can be approached in four ways:
- Use fluorides
- Reduce frequent consumption of sugars
- Control plaque
- Seal fissures
Fluoride
In Ireland three quarters of the population reside in communities served with water supplies which contain 1 part per million fluoride. This measure was introduced back in the mid 1960s and its beneficial effect is seen in the improvement of dental health of children and adults. Toothpastes containing fluoride now occupy over 95% of the toothpaste sales in Ireland and provide added benefit. Sales of mouthwashes have increased considerably over the last 10 years and many of these contain fluoride.
Fluoride works mainly by slowing down the process whereby the enamel loses mineral content when exposed to acid following intake of food and drinks which contain sugars. The main advantage of water fluoridation is that its caries reducing effects are available to everybody on the fluoridated water supply. Bottled drinking water contains highly variable amounts of fluoride depending on the source. Fluoride toothpastes are also an important source of fluoride and these should be used twice daily to maintain the level of fluoride in the mouth; fluoride mouthrinses are particularly useful for people who are prone to high levels of decay and for people undergoing orthodontic treatment.
Reduce Frequent Consumption of Sugars
Dietary advice should be aimed at limiting the frequency of sugar intake. Food and drinks containing sugars should be recognised and their frequency of intake reduced especially between meals.
Control Plaque
Although decay cannot develop except in the presence of plaque, plaque removal by toothbrushing cannot alone be advocated for prevention of decay. Firstly, normal brushing inevitably leaves some plaque in fissures and other stagnation sites where caries occurs; secondly, plaque rapidly begins to reform on clean tooth surfaces. Hence, while toothbrushing is important for maintaining healthy gums, numerous studies have failed to establish a clear association between toothbrushing and incidence of decay.
Brushing with a fluoride toothpaste is the most important method of delivering fluoride to the tooth surface.
Fissure Sealants
A further way of helping to prevent dental caries is for a plastic film to be professionally applied to pit and fissure surfaces of teeth as soon as possible after they erupt into the mouth. This prevents access of plaque and plaque acids to the enamel surface. Numerous clinical trials have shown that sealants
can be well retained and do prevent caries. However, they are only effective on the biting surfaces of teeth and should be seen as only one part of a comprehensive preventive plan.
When devising a strategy for the control of dental decay for an individual patient or for a community it is strongly recommended that a combination of the above strategies should be used taking into account the cost and effort required by the consumer.
Related Links
1. Irish Dental Health Foundation – http://www.dentalhealth.ie
2. Wikipedia – http://en.wikipedia.org/wiki/Dental_caries
3. British Dental Association – http://www.bda.org




