
What is it?
This is one of our favourite treatments to provide here at the clinic. Composite bonding (and composite edge bonding) is a hassle-free cosmetic dentistry procedure that involves placing soft malleable composite material directly on the teeth to produce a restored, impressive-looking smile.
It’s a really useful treatment for correcting chipped or broken teeth and for filling unwanted gaps & spaces between teeth. It’s also useful (in conjunction with teeth whitening) to improve the look of discoloured teeth.
What’s involved?
While each case is a little different, the process usually follows a set of simple steps:
Dental Check-up & photographs - Our dentists will firstly examine your damaged or discoloured tooth to make sure it’s healthy and that there are no hidden cavities that may cause future problems. We will also take high resolution digital photographs to allow us to see the teeth in minute detail; the photographs are really useful when we are planning your bondings.
Choosing a shade – assuming you are happy with the overall colour of your teeth, we then select the composite that best suits your natural teeth, which will help it blend in and look more natural.
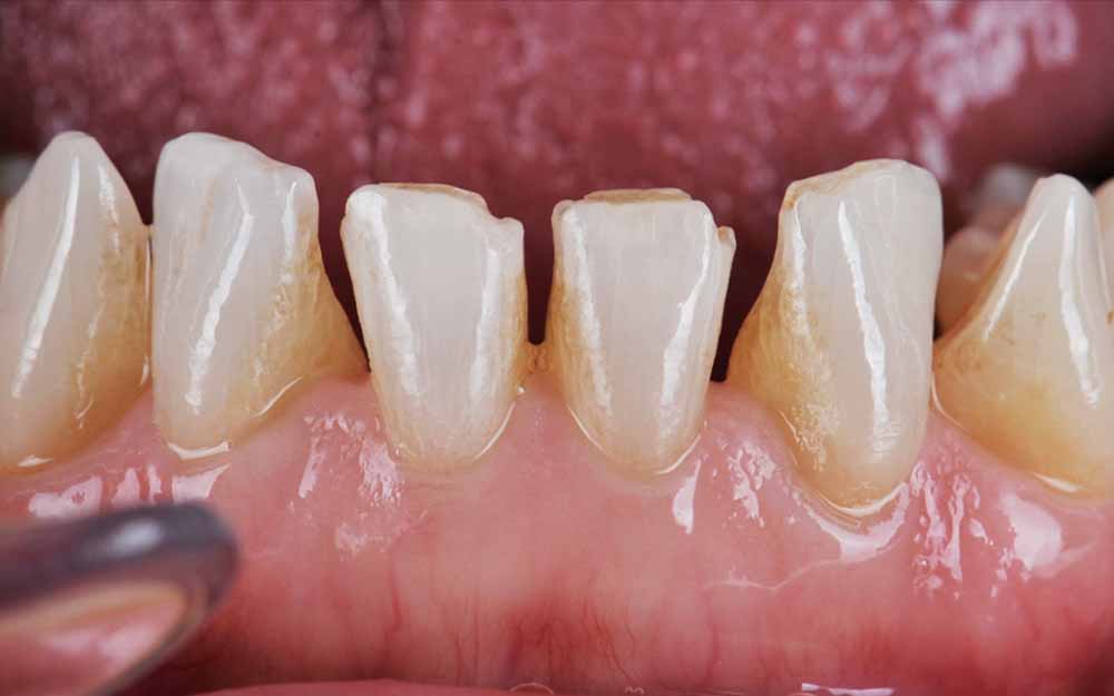
Preparing the tooth surface – In most cases, little or no drilling of your natural teeth is required for composite bonding. In some cases however, it may be necessary and we will give a little local anaesthetic (don’t worry, it’s completely painless). Before the composite can be applied, the surface of the tooth must be gently roughened and covered with a conditioning liquid to help it bond and last as long as possible.
Applying the composite – we carefully place the composite (usually small amounts at a time) and delicately and precisely reshape the teeth, paying particular attention to the edges of the six upper and lower front teeth, creating a more aesthetically pleasing smile.
Setting the composite – once the composite is perfectly shaped and placed, we then apply a special curing light over it to help it harden and bond to your tooth.
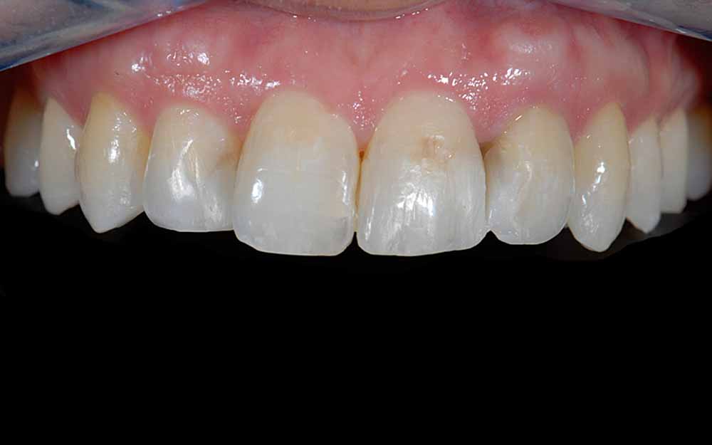
Refining and Polishing – the final stage is to carefully polish the bonded teeth. This is a very important step which really improves the appearance and gives a natural-looking shine. We of course then like to take some “After” photographs and confirm that everything is looking great and that you are happy with the results.
The Benefits:
Composite bonding is generally quick and it’s minimally invasive. It’s an ideal treatment option for those who don’t want or need porcelain veneers but feel that their smile needs improvement.
1 Single Visit. Can (nearly always) be carried out in one appointment.
2 Little or (in many cases) no tooth preparation.
3 Cost effective – considerably cheaper than porcelain crowns or veneers.
Any disadvantages?
1 If a lot of tooth is missing, crowns may be a better option (they’re stronger).
2 Longevity. Bondings typically last 5-7 years if looked after.
3 Aesthetics. The glaze and lustre isn’t quite as high as it is with porcelain but with modern polishing systems, this is less of an issue nowadays.
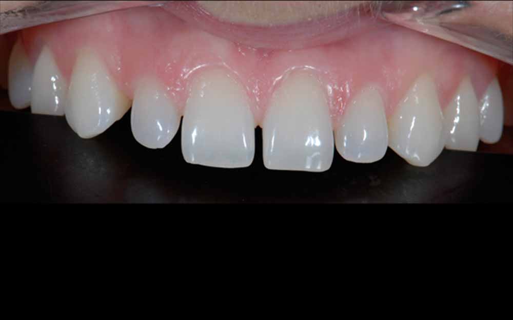
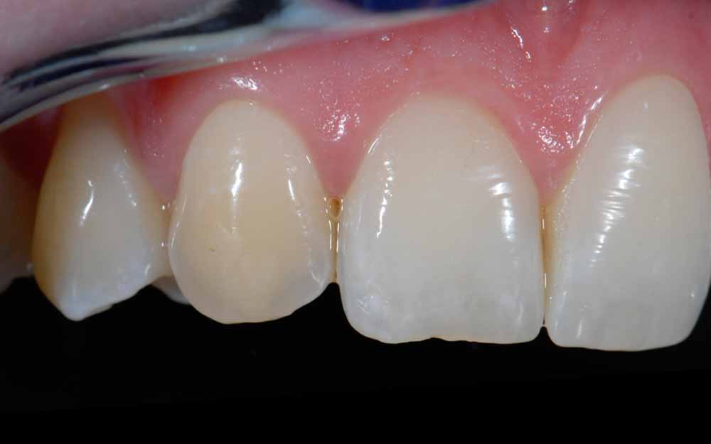
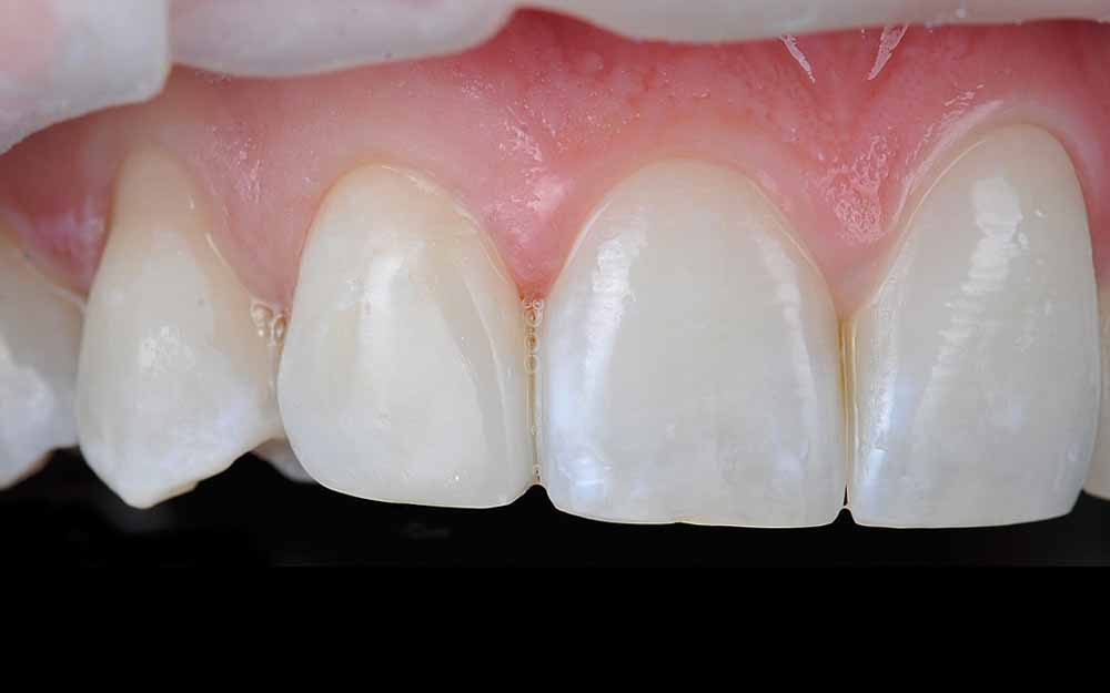
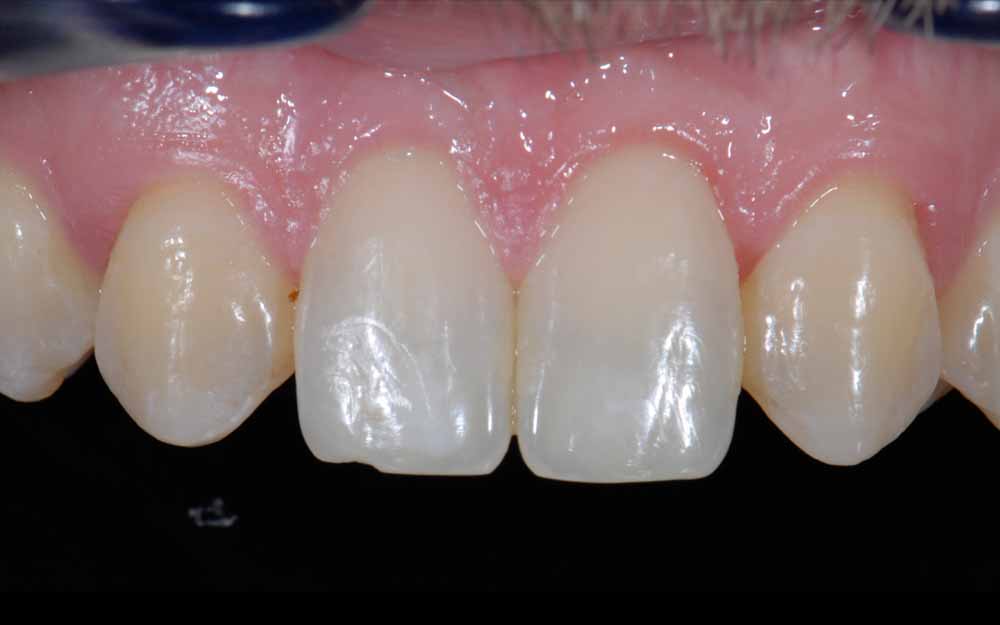
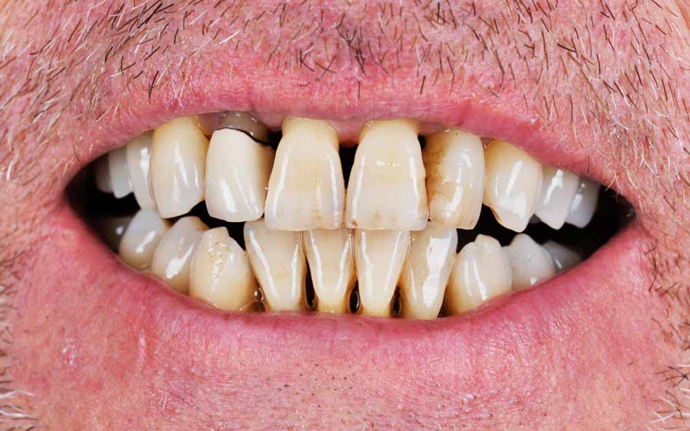
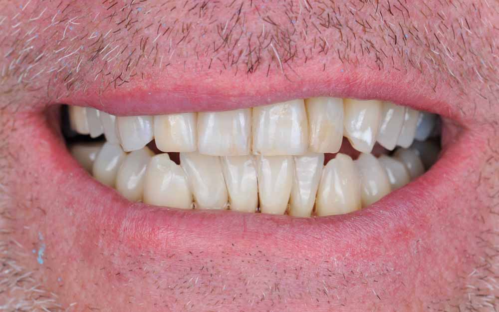
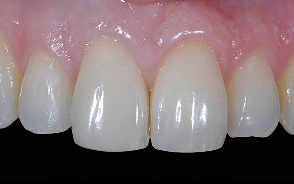
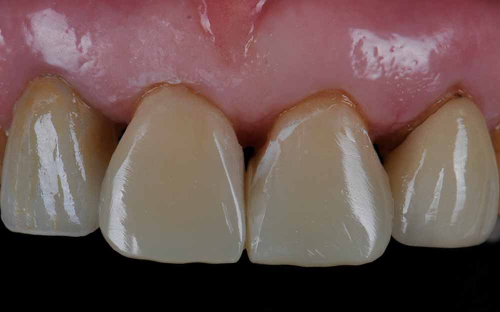
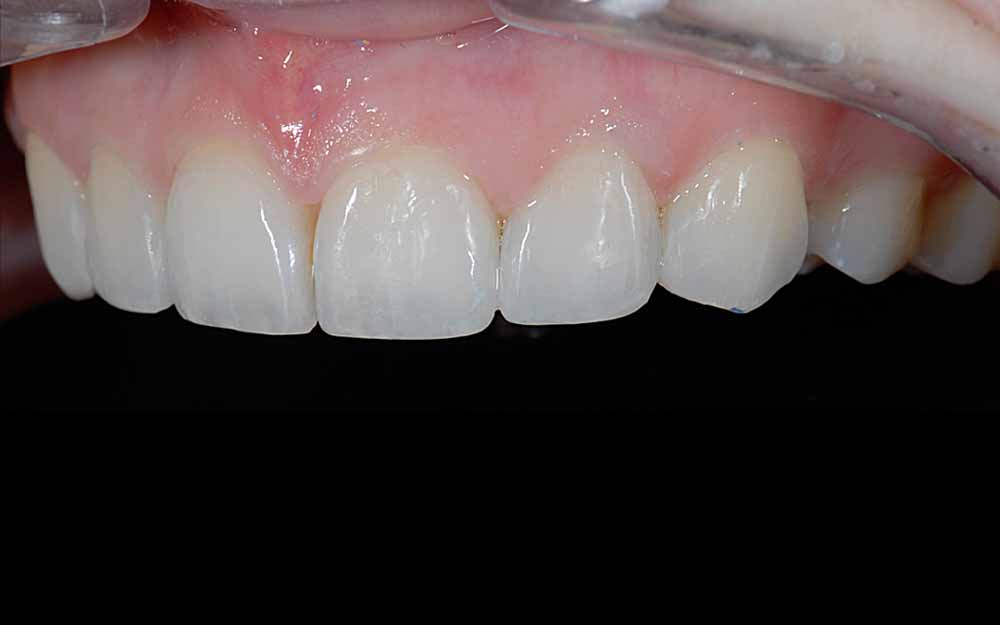
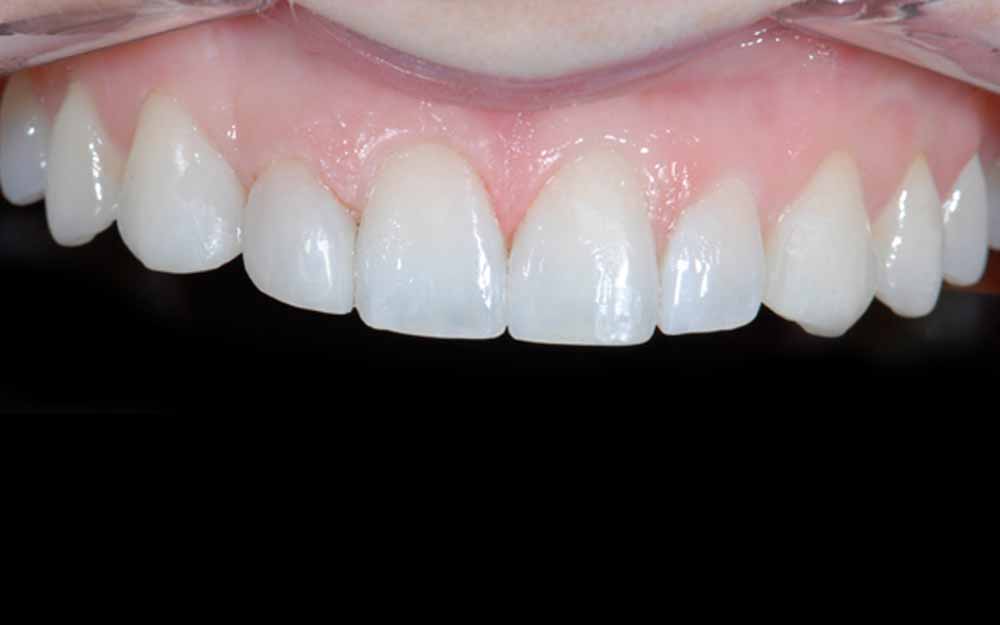
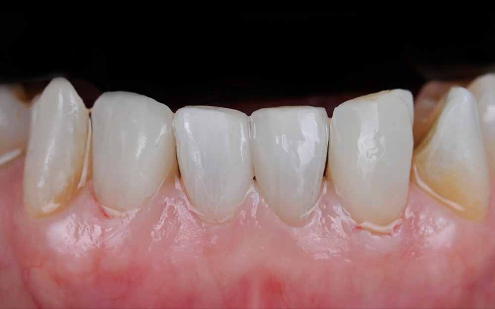
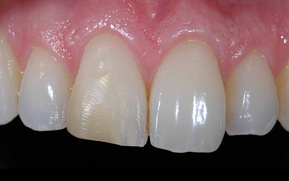
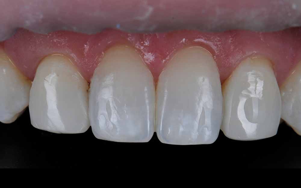
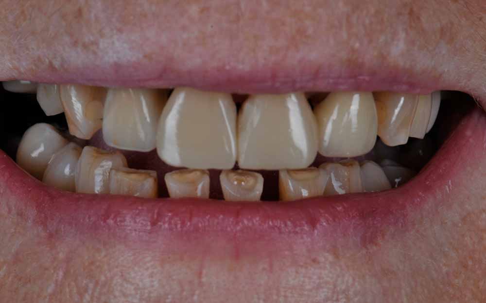
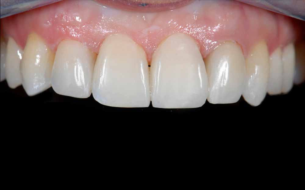
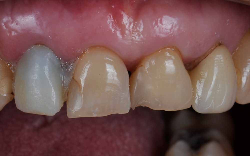
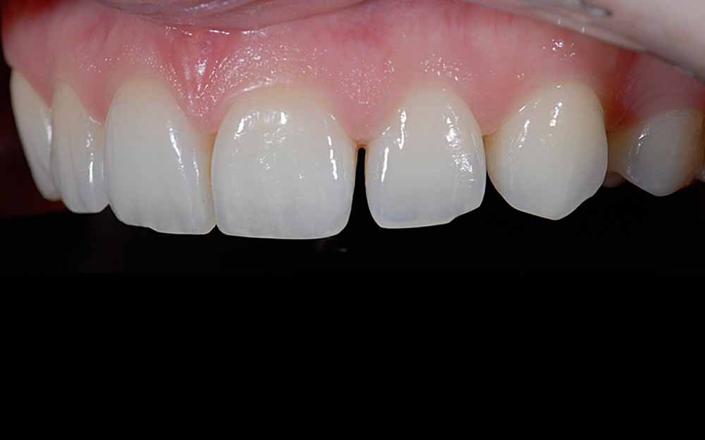
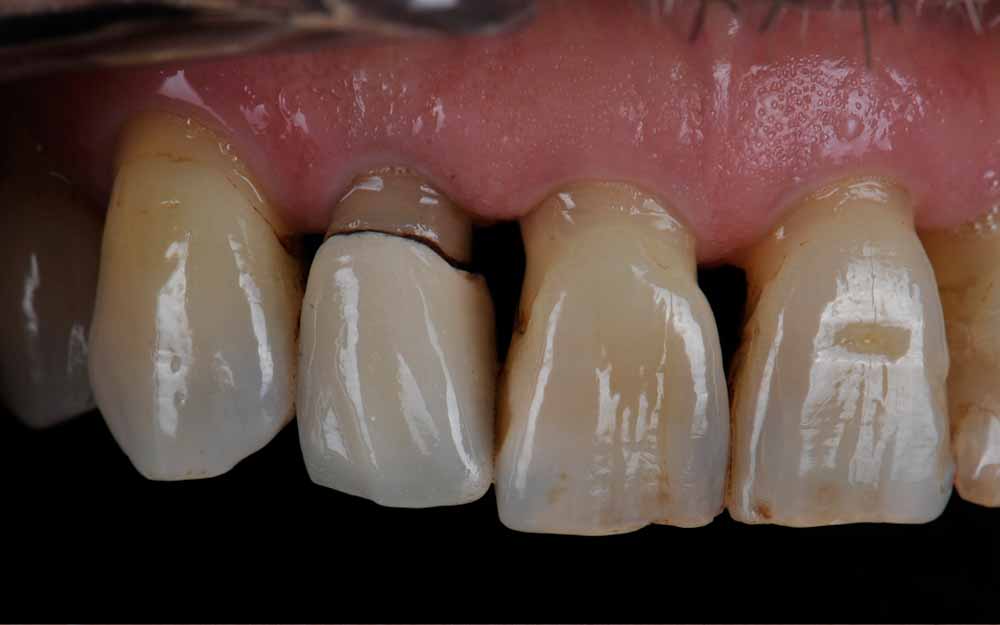
Before & After Cases
Digital Smile Design – Technology to give us a helping hand!
In cases like the one above (or when doing crowns, veneers and bridges), I sometimes like to do a Digital Smile Design (DSD) before we start. We use high quality photographs and photo editing software to do this. The technology allows me to see exactly where and how I need to place my bondings. The other great thing about DSD is that it allows my patient to see how their smile could look at the end of treatment – patients really love this as it gives them a say in how they want their teeth to look and make any necessary ‘digital adjustments’ – without touching their teeth! It often gives the patient a peace-of-mind and they know what to expect at the end of treatment.
Am I suitable for cosmetic bonding?
99% of patients that come into see me are suitable for this treatment in some form. If you’d like to know more about dental bonding, why not drop into see us? We’d be happy to discuss it in further detail and see if you are suitable!
Written by Dr. Mark Kelly.
Teeth not looking so great? Thinking about cosmetic bonding to improve the appearance of your smile? We’re here to help! If you’re looking for a dentist in Dublin, we’re always happy to accept new patients. You can book an appointment online or call our reception team at 01-6655900. And as always, you can email us at info@shelbourneclinic.ie – during office hours we always aim to respond to queries within 30 minutes.




