
Before & After Cases
Here at Shelbourne Dental Clinic, we are passionate about creating confident, natural-looking smiles through high-quality cosmetic dentistry. With a strong focus on detail and aesthetics, we offer a range of treatments including Invisalign, dental bonding, teeth whitening, and porcelain veneers. Our before-and-after gallery showcases real patient transformations, giving you a clear idea of what’s possible. Whether you’re looking for subtle enhancements or a complete smile makeover, you’re in experienced hands.
Composite Bonding
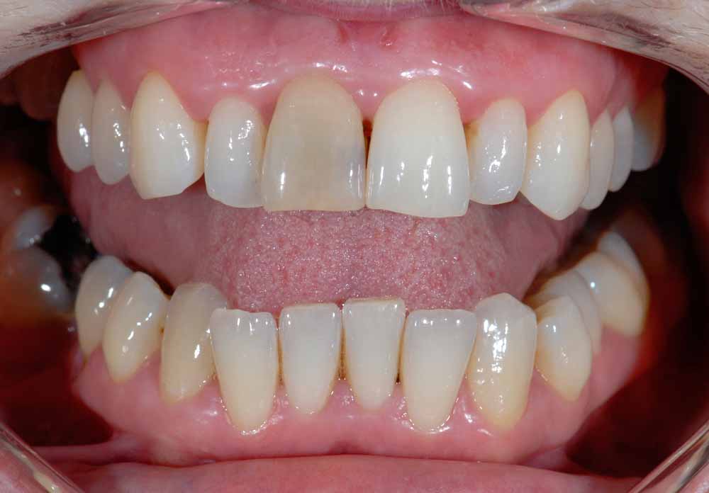
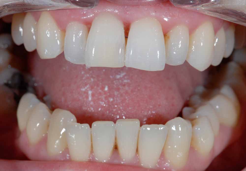
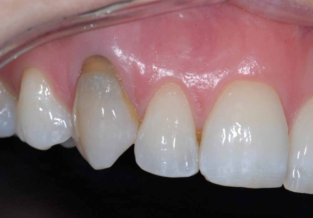
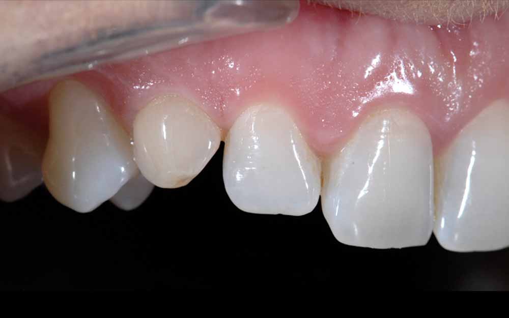
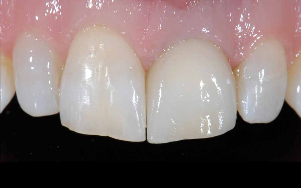
Replacing an old style PFM crown with a layered ceramic crown, in addition to composite bonding to close the unsightly gaps between the teeth.
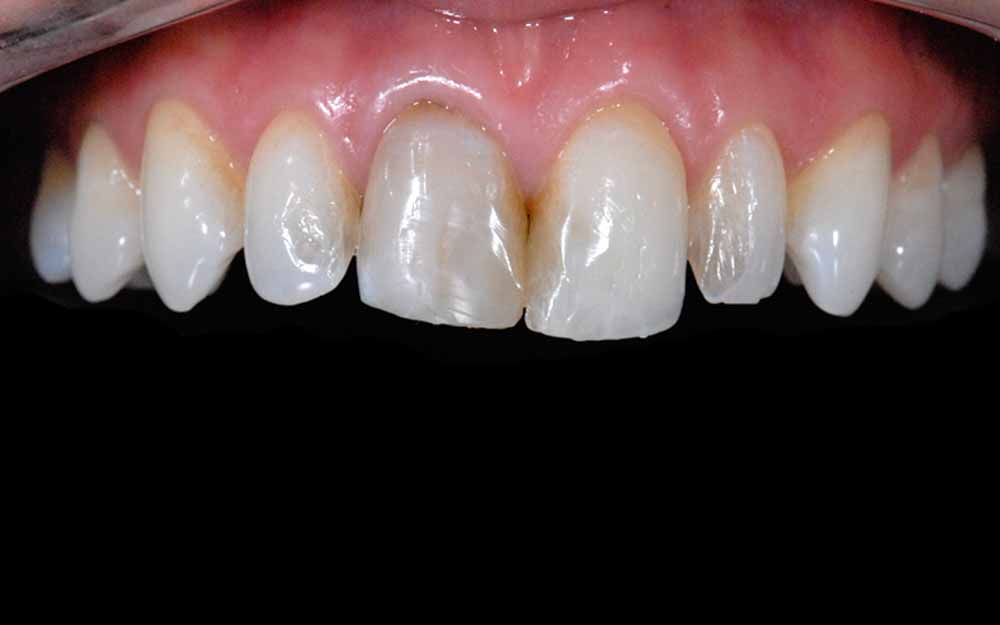
This patient was missing his lateral incisor teeth and didn’t like the pointy canine teeth in their position. We did some teeth whitening and composite bonding to improve his smile.
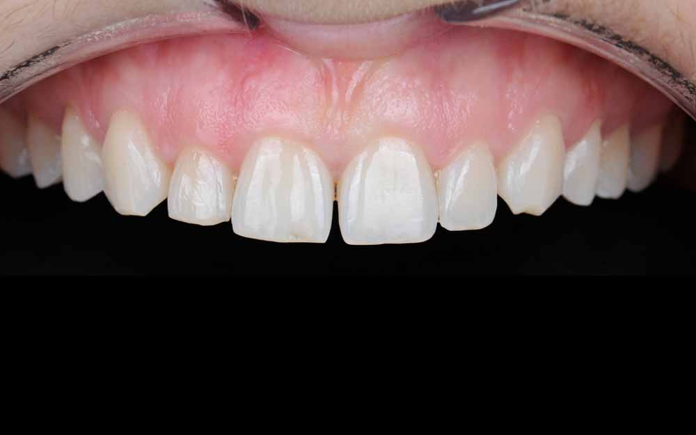
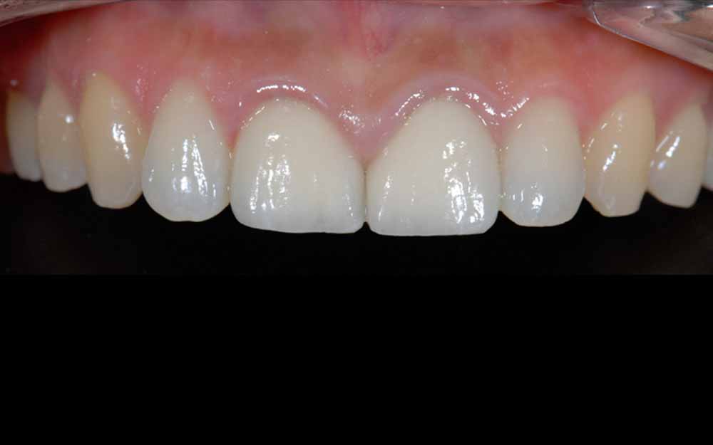
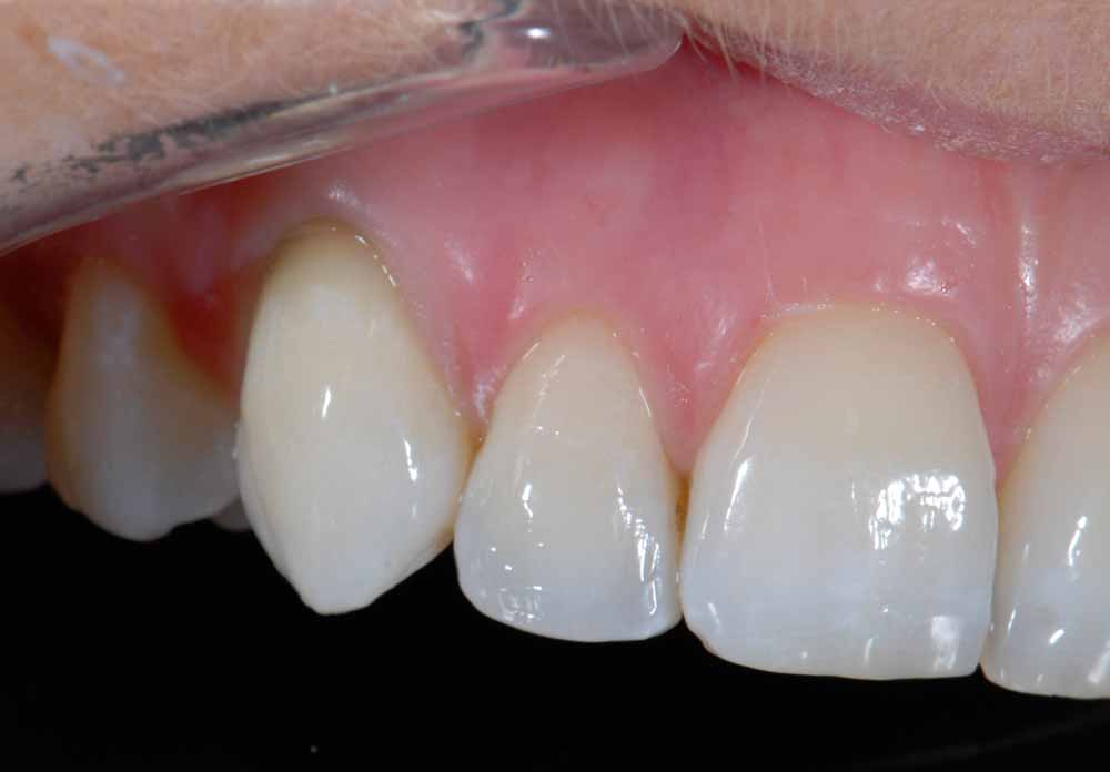
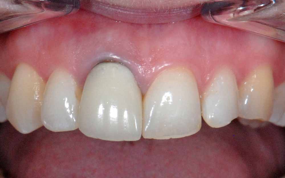
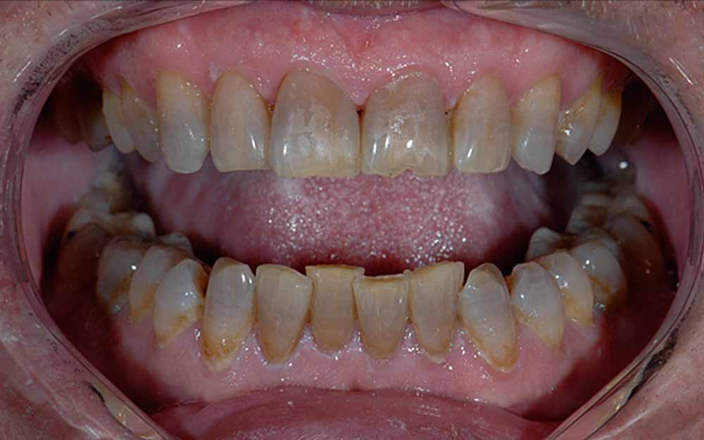
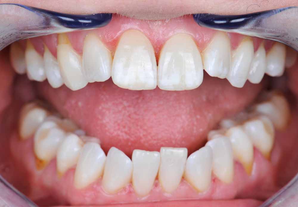
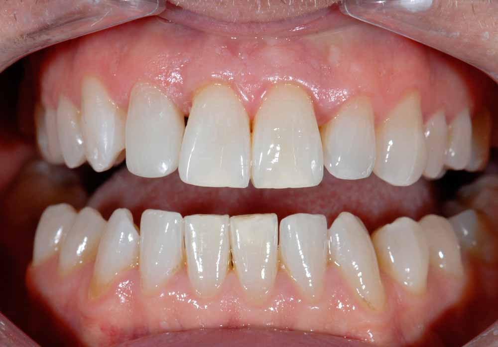
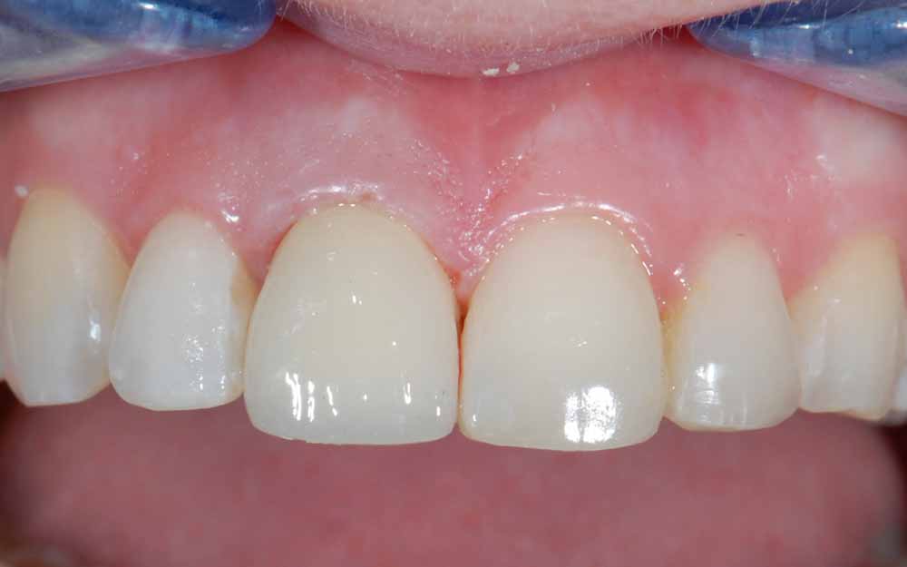
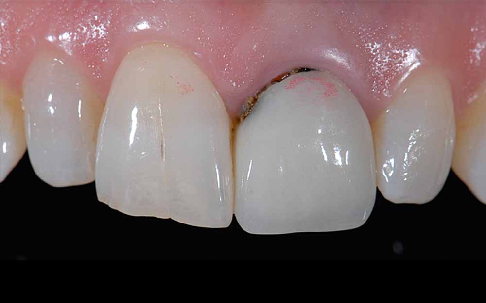
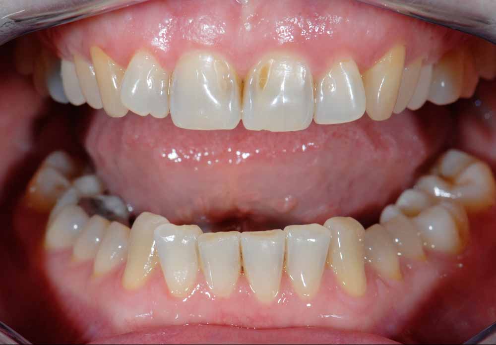
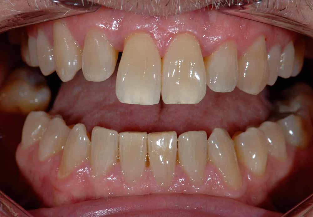
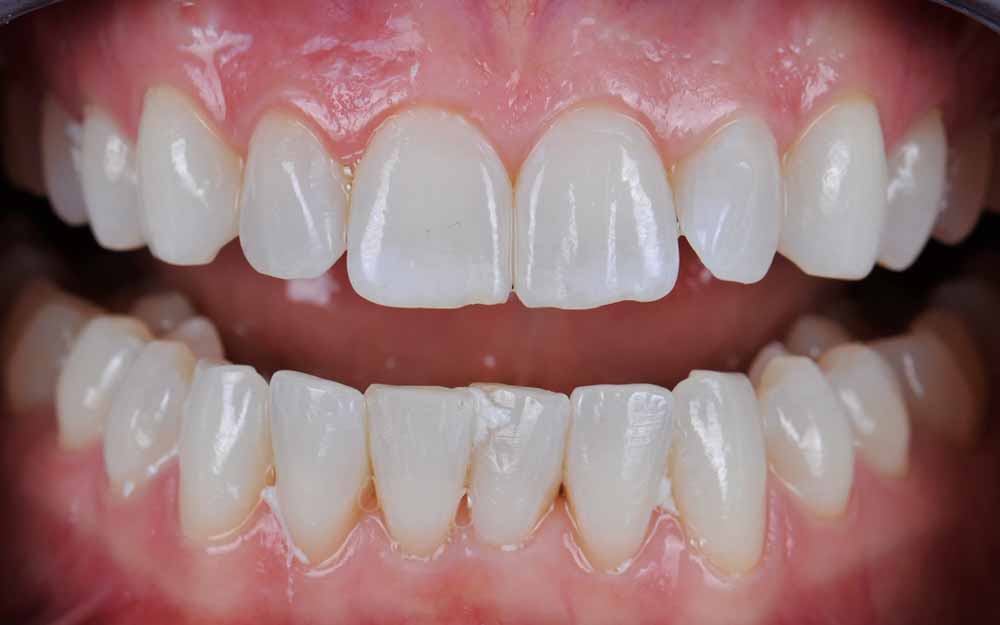
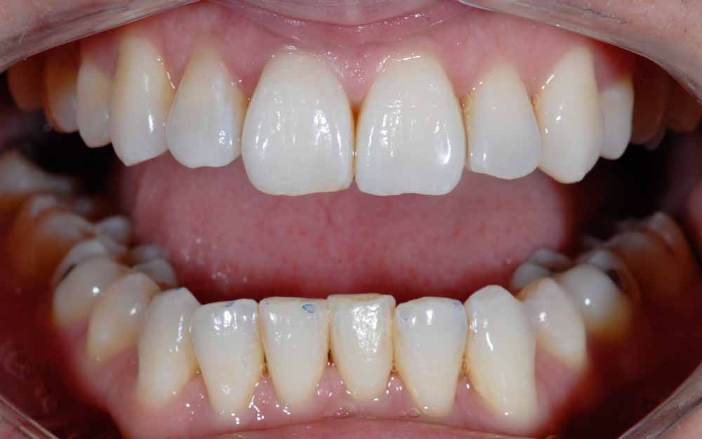
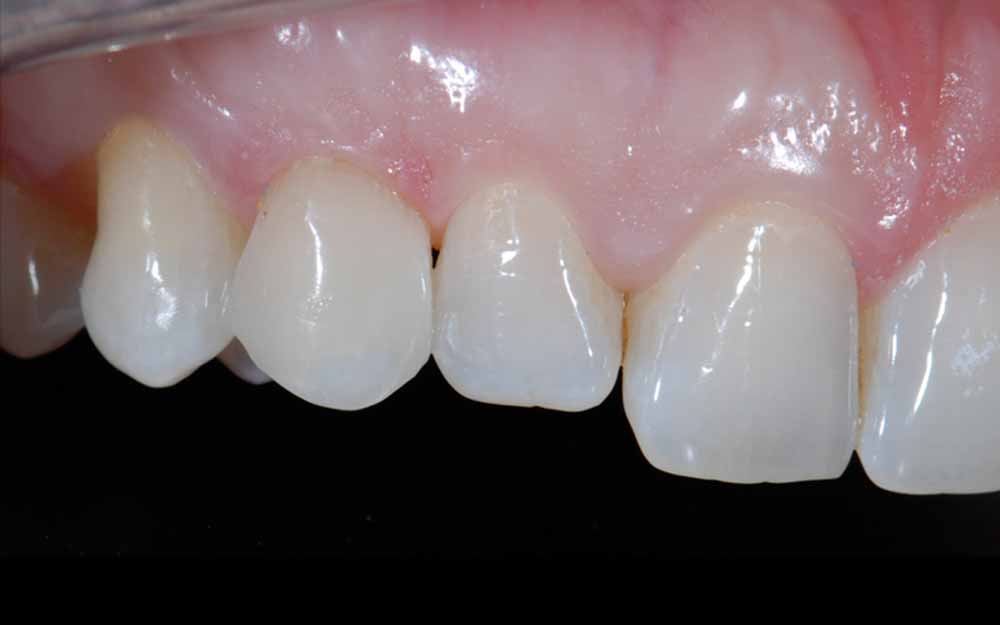
70yr old patient. Layered ceramic crown to replace an ugly looking temporary crown and composite bondings to replace both badly broken down central incisors.
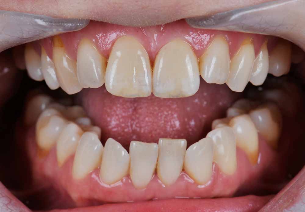
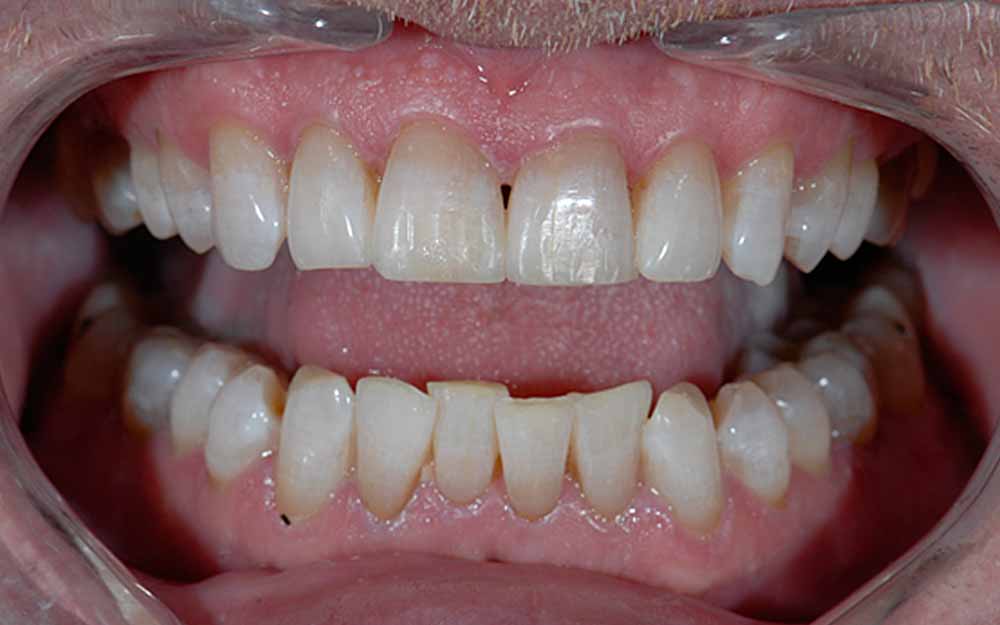
This patient had a course of orthodontics, followed by composite bonding with another clinic. She was happy with the orthodontics but not with the bondings so we re-did the bondings.

