
What Is Invisalign?
Invisalign is an orthodontic treatment that uses a series of custom-made, clear plastic aligners to gradually move your teeth into their ideal positions. Each set of aligners is worn for about 1–2 weeks, and treatment typically lasts 6 to 18 months, depending on your individual needs.
If you’re looking to improve your smile without the hassle of traditional metal braces, Invisalign® may be the perfect solution. We offer Invisalign clear aligner therapy—a modern, discreet way to straighten your teeth and correct bite issues with virtually invisible, removable trays.
The Benefits of Invisalign
Virtually Invisible: No metal brackets or wires
Comfortable & Removable: Eat, drink, brush, and floss with ease.
Customized for You: Each aligner is custom-designed using 3D digital imaging to ensure a precise and effective fit.
Fewer Office Visits: Invisalign requires fewer check-ins than traditional braces, saving you time and hassle.
Am I suitable for Invisalign treatment?
Most adults with mild to moderate alignment issues are great candidates for Invisalign. During your initial consultation, we will evaluate your oral health and goals to ensure Invisalign is the best choice for your smile. In some cases, traditional braces may be more effective at achieving your desired outcome.
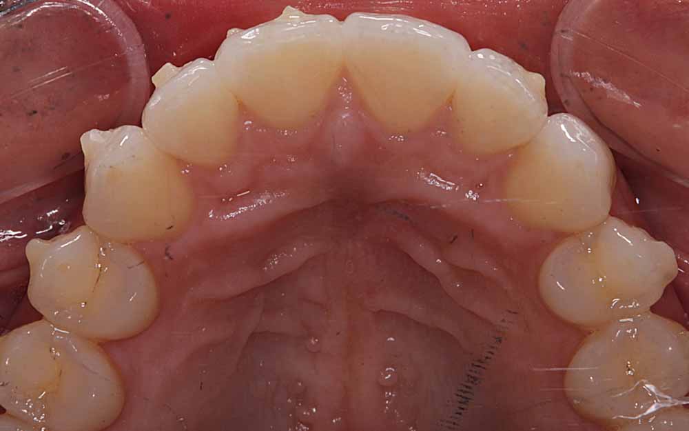
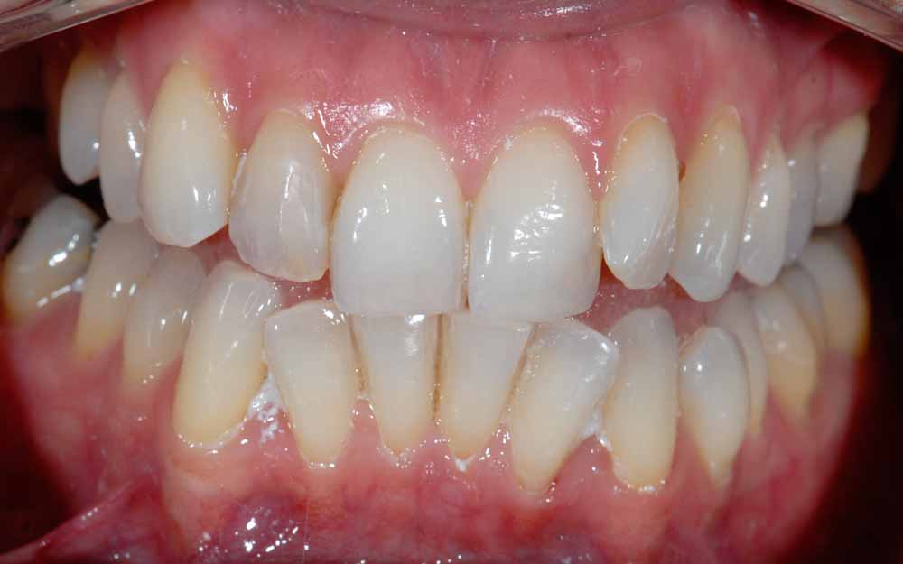
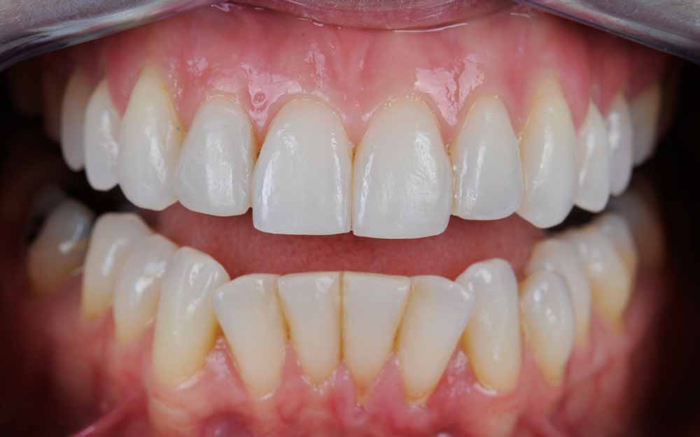
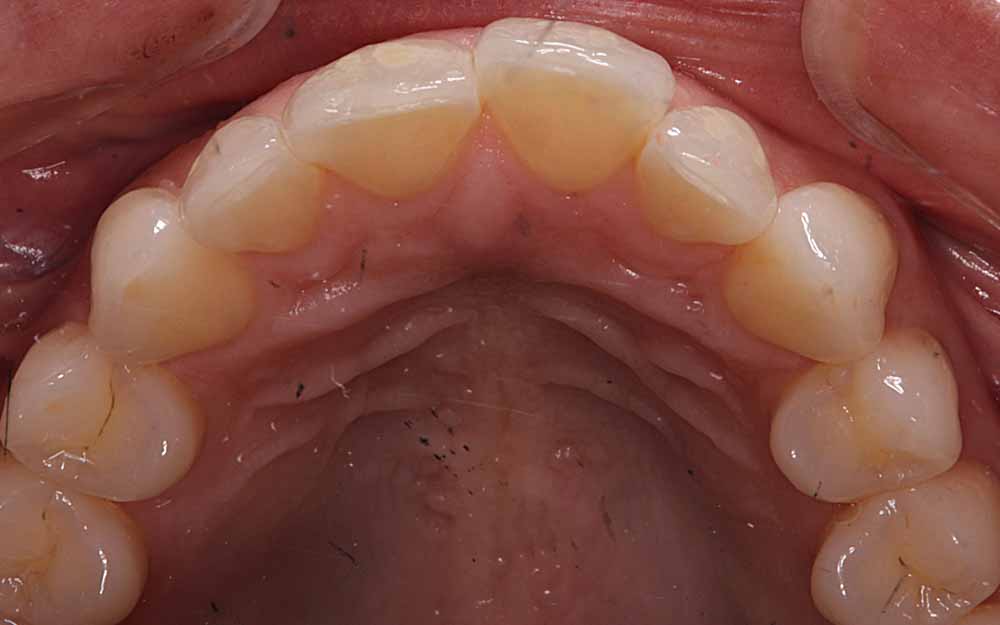
Before & After Cases




