
Routine Dental Care
Advanced Dental Care
We are delighted to provide a wide range of dental services
Treatment at our clinic is offered on a private basis and also to PRSI-qualified patients. Services include all routine dental treatment (examinations, cleanings, fillings etc.), cosmetic dentistry such as teeth whitening, bonding and porcelain veneers as well as more advanced procedures including the provision of crowns and bridges and dental implants.
We also provide specialist prosthodontic services here at Shelbourne so we can cater for those patients requiring extensive dental treatment such as full mouth reconstructions, severe wear cases and advanced cosmetic dentistry.
Our practice is of course delighted to provide treatment for all your family, including children.
We are also able to offer emergency appointments for patients unfortunate enough to have an urgent dental problem. We always strive to see all patients on time at the clinic.
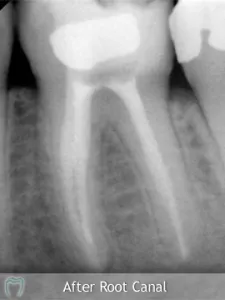
Listed below are some of the treatments and services we offer. We’ve also included several real life ‘case studies’ which demonstrate what can be encountered, and how we’ve managed the case.
What Our Clients Say


















