
A natural-looking, long-lasting solution for missing teeth.
Losing teeth has many consequences. It can impact your confidence, your bite, and your comfort when eating or speaking. At Shelbourne Dental Clinic, we offer high-quality dental implant treatment, helping you restore your smile in a way that looks and feels natural.
Why choose implants?
Dental implants are small titanium posts that replace the root of a missing tooth. They provide a strong, secure foundation for a crown, bridge, or denture, meaning you can chew, smile, and speak with ease.
Unlike dentures or traditional bridges, implants help preserve the surrounding bone and protect nearby teeth. Once placed, they function just like natural teeth and can last for decades with proper care.
Trusted technology, expertly delivered
At Shelbourne Dental Clinic, we use Straumann® implants and components exclusively. This Swiss system is renowned for its reliability, precision, and long-term results. It’s one of the most respected names in implant dentistry worldwide, and we’re proud to offer it to our patients.
We use digital cone beam scanning (CBCT) to carefully assess each case before treatment, allowing us to plan with precision and ensure the best possible outcome.
Training you can trust
Dental implant treatment requires careful planning, precision, and experience. Dr Karl Cassidy has undertaken extensive postgraduate training in implant dentistry, and is concluding a 3 year comprehensive university-based MSc programme in Dental Implants. This ensures your care is grounded in advanced clinical knowledge and the latest evidence-based techniques.
What to expect
The process begins with a full consultation and assessment, including digital imaging and a 3D scan of the jaw. We’ll take time to talk through your options, explain the procedure and timeline in full, and create a tailored treatment plan based on your individual needs.
With the right planning and care, dental implants can be an excellent long-term solution. We’re here to guide you through the process.
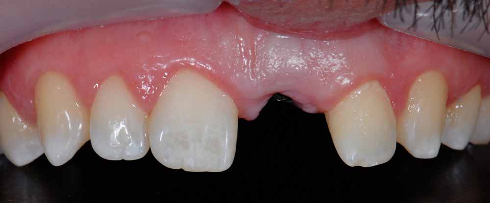
Case Study 1
Missing Tooth
Gap restored with an implant
X-Ray showing missing Tooth
X-Ray showing gap restored with an implant
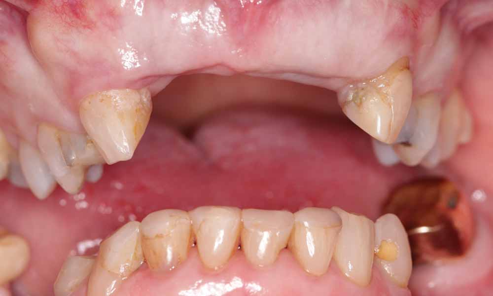
Case Study 2
Missing upper front teeth
Gap restored with 4 unit implant bridge




