
Case Background
This patient visited our clinic in 2008. She told us she was unhappy with the appearance of her front teeth. More specifically, she didn’t like the size of her small lateral incisor teeth and wanted to improve the appearance of her central incisors which had some old tooth coloured fillings in place which had darkened over time.
What We Did
After assessing the patient and listening to her issues, we were happy to be able to provide several solutions to her dental problems. In the end, we chose to place some new All Ceramic Crowns on both Upper Central Incisor Teeth and some Ceramic Veneers on her small lateral incisors. This had the effect of improving the anatomy and surface appearance of her teeth as well as giving her a brighter smile.
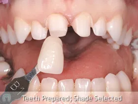
After taking pre-operative x-rays and photographs, the front teeth were prepared for some new crowns and veneers. The shade for the new teeth is carefully chosen, paying close attention to the appearance in both ambient light and tungsten light. Colour corrected lighting is used in the surgery and we are also fortunate to have digital shade measuring equipment to help with shade selection.
Two weeks later the patient returned to the surgery and the new crowns and veneers were fitted. The teeth were given a polish and final photographs were taken.
The finished result!
Number of Visits to Clinic: 3




