“A stitch in time saves nine.”
-Thomas Fuller, 1732.
You may have noticed our practice in the media recently following my being awarded Sensodyne Sensitive Dentist of the Year. Basically we spotted acute Leukaemia in a dental patient during a dental check visit. (And hopefully you won’t notice the terrible photo of me wielding a giant toothbrush. Yes, yes. You can stop laughing now.)
Obviously this case which involved a cancer diagnosis is a particularly dramatic example of why your dental check visit could be important. We’re not going to encounter something like this every day. But why else is a dental check visit important?
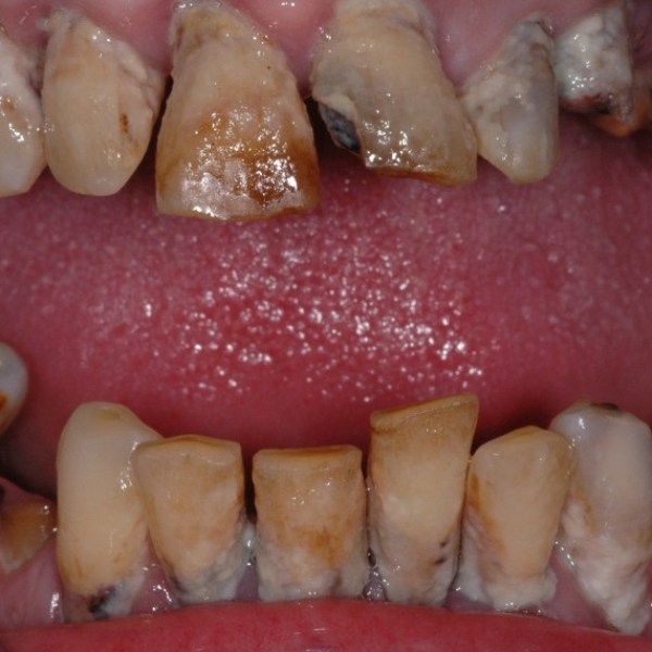
1. Your Teeth:
This is the obvious one! When we examine your teeth we’re looking for signs of decay, fractures, discolouring or signs of underlying infection. This is important for the very obvious reason that if something is going wrong, catching it early makes all the difference in the world.
A small superficial area of decay might be treated by getting you to clean the area more effectively and cut back on sugar intake. Leave it three or four years however, and you could be looking at a root canal treatment or extracting the tooth!
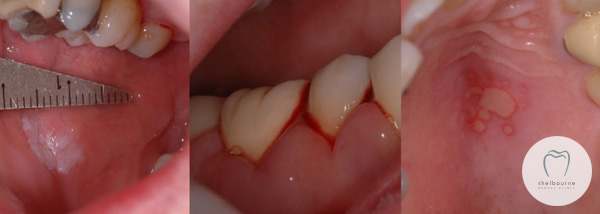
2. Your Gums
Checking your gums is just as important as the teeth. After all, your gums and underlying bone are the foundations, holding the teeth in. Lose the gum and bone, and you lose the tooth! In the US more teeth are lost to gum (periodontal) disease than any other cause.
Unfortunately gum disease is often not noticed, even during dental check visits, as it’s usually symptom free. By the time periodontal disease is causing pain or other obvious problems it’s often too late, and multiple teeth will typically be lost. We check, measure and record your gum health on every dental check visit. Additionally, a regular scale and polish will help the general gum health and keep your home brushing and cleaning effective!
3. The Other Structures In the Mouth
By this we mean your tongue, palate, inside your cheeks and all the other “soft tissue”. (As opposed to the teeth, which are “hard tissue”.) During your dental exam we’re looking for things like sores, ulcers, fungal infections or anything else that might be suspicious. And yes, we occasionally find things like mouth cancer, or the pre-cancerous lesions that can appear before it gets to that point. Obviously in these cases early detection is absolutely vital.
The mouth can shows signs of all sorts of other conditions that affect the whole body. Conditions we’ve picked up during a dental check up include things like Anaemia, Crohn’s disease, gastric reflux and Sjogren’s syndrome. That’s not to mention other conditions like diabetes that we figure out from the history given to us by the patient!
So if you’re a bit overdue for your dental “check up”, don’t panic! Just call or email your dentist today. Remember we’re here to help you, and make sure you stay in tip-top shape.
Written by Dr. Karl Cassidy.Based near Dublin’s Docklands and overdue for your dental check up? We’re always happy to see new patients! You can book an appointment online or call our reception team at 01-6655900. And as always, you can email us at info@shelbourneclinic.ie – during office hours we always aim to respond to queries within 30 minutes.









