“Quality means doing it right when no one is looking.”
-Henry Ford
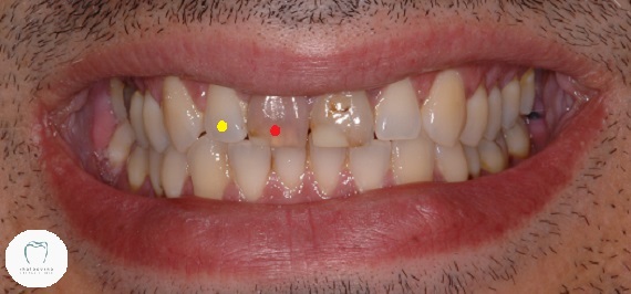
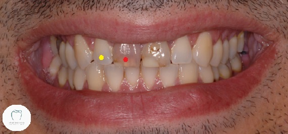
I completed this really interesting dental crown case last week. (Well, I hope I’ve completed it. More on that later!) This gentleman presented last year in pain and with two dark teeth at the front that looked like this:
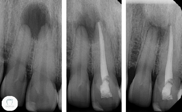
Both teeth are badly discoloured and heavily filled. His upper right central (red dot) tooth was hurting. A lot. If we tapped on it, there was even more pain. So we took an X-ray and found this:
You can see the great big black circle above and around the roots of two teeth. That’s an abscess. Now the question becomes “One tooth or two?” Looking at this X-ray, I’d say two teeth are compromised.
Yet when we put something very cold on the two teeth, the next door lateral tooth (Yellow dot) could feel it. The prime suspect, the central incisor with the red dot, most certainly could not feel the cold! So there’s some chance the nerve can be kept alive in one tooth.
Having cleaned out the dead nerve and completed the root canal treatment in just the central tooth, we wait. Here’s the sequence of x-rays showing what happened over the year:
Well, you should be able to see for yourself what’s happened here. The big dark open hole in the bone has almost completely filled in. It certainly appears that the single root canal treatment is successful. There’s still some risk that I’ll end up having to root treat the other tooth too, but hopefully not. (The patient of course is fully aware of this)
So having got what are effectively the foundations sorted out, it’s time to sort out those two dark teeth! In case you’re wondering, the other dark tooth on the left was root canal treated over ten years ago.
We decided to brighten up the other teeth first with some teeth whitening. Once the new tooth colour had been given time to stabilise, we finally restored this smile with a pair of all-ceramic dental crowns for maximum aesthetics.
Here’s the final before and after photos:
Needless to say he’s delighted with the result!
So what can we learn from this case? It shows that a lot of dentistry, particularly more complicated work, needs time. We had to wait many months to make sure that the root canal we carried out was successful, and to be sure there wasn’t another root canal needed.
If we’d put the dental crowns on straight away, and there was a problem with the root canal we DID do, it’s possible the crown would have to be destroyed in trying to fix the problem. This kind of work just can’t be rushed.
Finally, a case like this shows that there can be a lot of “unseen” work in complex high-end dentistry.
(My thanks as always to my patient, who so kindly allowed me to share these photos with you.)
Written by Dr. Karl Cassidy.Have dark or discoloured teeth, and you want your smile back? Feel you could benefit from dental crowns? If you’re looking for a dentist in Dublin, we’re always happy to see new patients. You can book an appointment online or call our reception team at 01-6655900. And as always, you can email us at info@shelbourneclinic.ie – during office hours we always aim to respond to queries within 30 minutes.













