“I’m a special one.”
-José Mourinho (2004)
Ok…. so we can’t provide José Mourinho, but today I would like to introduce you to our specialist dentist, prosthodontist Dr. Tom Canning.
A prosthodontist is a qualified dentist who has trained an extra three years full time. This additional training is in dental implants, crowns, bridges, dentures and pretty much every other way you can “fix” or replace teeth. It’s effectively a nine year training path in total. (Hardcore or what?)
Having seen some of the complex dental problems Tom’s treated here at Shelbourne Clinic, I suspect magic or some other dark art is part of the training too… more on that later!
Unsurprisingly, Tom typically treats fairly complex dental cases. So if you’re missing a lot of teeth, have very heavily damaged or worn teeth, or maybe have older complex dental work that’s failing, and you want your smile restored, then referring you to Tom is often the best option. (Incidentally, Tom also sees patients referred to him from other dentists in Dublin.)
So what can a specialist dentist like Tom offer that you might benefit from? Well, over the next few months we’ll be getting Tom to write some articles for the blog here. So you’ll get to see first-hand the sort of advanced restorative dentistry we can offer you here at Shelbourne Dental Clinic.
But we couldn’t just leave it at that…. so here’s a nice example of a case Tom carried out to start us off.
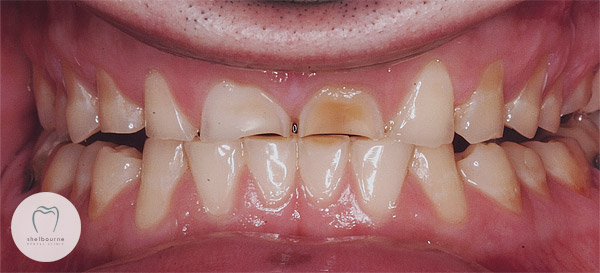
Teeth short from grinding with enamel damaged by acid… a job for a specialist!
This patient has suffered very extensive wear of their teeth. Teeth grinding at night time, called bruxism, has shortened the teeth fairly dramatically. (I’ll revisit that topic in a later blog article.) Additionally there’s lot of acid damage to the front of the teeth. The upper teeth are much more affected than the lower.
So to restore this smile, you’re looking at a lot of crowns. However as we want to restore the teeth to their correct length, we have to reset the patient’s bite to a new position. That’s where it can start to get very complicated indeed, and this is one of the reasons you really want a fully qualified specialist doing this kind of major reconstruction work. Here’s the before and after picture for direct comparison:
Final crowns in place. A lot of time, care and effort taken to produce this result!
Perhaps feel your teeth are “beyond rescue”, but as this case shows it’s amazing what is ultimately possible. Yes, it can involve a lot of time, careful planning and work. But the results really can transform your dental health, give you a great smile and add a huge boost to your confidence and comfort. If you’d like to know more or if you want to schedule a consultation with Tom, we’d be delighted to hear from you.
Written by Dr. Karl Cassidy.Have a lot of missing or damaged teeth and interested in improving things? If you’re looking for a specialist dentist/prosthodontist in Dublin, we’re always happy to see new patients. You can book an appointment online or call our reception team at 01-6655900. And as always, you can email us at info@shelbourneclinic.ie – during office hours we always aim to respond to queries within 30 minutes.










