
Introduction
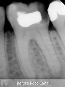
Root Canal Treatment (known as “Endondontic Treatment”) involves the treatment of disease or injury to the dental pulp or ‘nerve in the tooth’. This nerve is located in the very centre of the tooth in a small narrow ‘canal space’ which extends from the crown to the tip of the root – the area inside the centre of each tooth that contains nerves and blood vessels that help nourish the tooth. If the nerve is injured or diseased then it can die and this often leads to sensitivity, toothache or a dental abscess. It can also lead to the tooth actually discolouring.
What does Root Canal Treatment involve?
Root canal treatment saves teeth that would otherwise need to be extracted. It involves removing the damaged or dead nerve tissues and pus in the root canals of teeth that have become infected. The infected or dead tissue is cleaned away and the residual canal space is also cleaned and disinfected, and the root canal is prepared so that it can be sealed with a filling. The tooth can then be restored and can remain in function for many years provided there is sufficient sound tooth structure to support a new filling or crown.
If you need an endodontic re-treatment, it means that the previous root canal treatment failed or that symptoms persist. This may happen shortly after the original treatment or even years later. Endodontic re-treatment involves the removal of existing root filling material, re-cleaning and disinfecting the root canals and placing a new root filling.
In some cases a root treatment or re-treatment can be performed in one visit, but more visits may be necessary in trickier cases or where there is a more severe infection.
Finally, if endodontic treatment or re-treatment cannot be successfully carried out on a particular tooth, or if the tooth is too structurally compromised to be successfully or predictably restored, then it may be better to remove the tooth and restore it with a dental implant and crown.
At Shelbourne Dental Clinic, we have invested heavily in technology to help us with carrying out our Root Canal Treatments. We use the latest rotary endodontic systems along with high power magnification and led lighting for optimum visual access and maximum success rates.




