The Dark Tooth…
The “dark tooth”…. something that I see pretty much every day of the week here at Shelbourne Dental Clinic. Some people are very upset by it; others don’t even notice (until I point it out to them during their check-up).
Of course, there are loads of reasons why teeth become dark(er). Right now I’d just like to talk about one type of discolouration that I love treating…. the root canal treated dark (front) tooth 😉
The patient will usually be unhappy with the colour of their front tooth. It’s nearly always a front tooth as that’s more obvious.
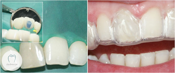
Here is a picture of the case I’d like to show you today:

Here is the case I’d like to show you today
Sometimes it isn’t so much that the tooth is dark, rather that it is ‘darker’ than the tooth beside it. Typically the root canal has been done years beforehand. The dark tooth has usually never given any trouble, but slowly but surely as the years roll on, the tooth seemed to get increasingly darker than the other teeth each side.
The Fix.
So… what to do? I’ll take a digital x-ray to make sure that the root is intact and that the root canal looks good. Next up is taking an accurate record of the shade of the tooth. Enter my digital camera! When treating cases like this it’s essential to know where you’re starting from, so a good baseline shade record is crucial.

My trusty digital camera. Inset: Digital tooth shade measuring device…. and me recording the shade before we start!
In cases like this, I’ll use teeth whitening gel to ‘whiten’ the tooth both from the outside AND from the inside. First I’ll make a custom fit teeth whitening tray for the patient to wear.

Here is the teeth whitening tray and gel for my patient
Every night, they’ll place a small amount of whitening gel into the tooth tray and wear it while sleeping. For my end of things, I’ll remove the small filling in the back of the dark tooth and place some whitening gel inside and seal it up.

Left: Preparing the tooth for internal whitening. Inset: The blue gel indicates where I’m going to place the whitening gel inside the tooth. Right: My patient wearing his whitening tray
See what we’re doing here? We’re whitening the tooth from both inside and outside – hitting it from all angles! Every week or fortnight, the patient will drop into see me for a short appointment so we can see how things are looking and take follow up photographs. I’ll replace the gel inside the tooth and the patient will continue whitening the tooth with their tray. And round and round we go until we get the desired result.
“Hey Mark…. how long is this gonna take? Sounds like a lot of hard work to me!”
I hear you! The simple fact is…. it will take as long as it takes 🙂
I tell my patients to be… well… “patient”! Almost always, I’ll get a good result for them if they trust me on this one. As a *general rule*, the longer the tooth has been dark, the longer it will take to whiten up. I’ve seen these take from 1 week to 4 months. Generally though I will tell my patients they will need to come in and see me at least 3-4 times. I want to slightly over-whiten the tooth as it will relapse a little once treatment is over. I’ll also make my patient well aware that this procedure may need to be repeated in the future.

No more dark tooth = Happy Patient + Happy Dentist
Even with advances in teeth whitening technology, there are still those stubborn dark teeth which just refuse to whiten to the desired shade. In cases like these I’ll recommend either a porcelain veneer or a crown for my patient. Here is an example of a case where we needed to use a crown to brighten up a dark tooth with a large filling.
Let me finish by saying this. If you have noticed one of your teeth is becoming progressively darker, DON’T IGNORE IT. Go and see your dentist (come and see me if you like!!) and get it checked out. The earlier these problems are dealt with, the better the outcome will be. Keep smiling 🙂

Do you have a dark tooth that bothers you? Want to know if we can shed some light on it? If you’re looking for a dentist in Dublin, we’re always happy to accept new patients. You can book an appointment online or call our reception team at 01-6655900. And as always, you can email us at info@shelbourneclinic.ie – during office hours we always aim to respond to queries within 30 minutes.