Ok, so on to the second part of the story. For those of you that haven’t read the first part of this case, you might like to read it here.
So at this point, I have now finished the root canal treatments in both upper front teeth. The patient has no more discomfort and the teeth are stable. Happy days 🙂
The next phase of treatment is all about improving appearance and function. As you can see from the photo, the upper front teeth are pretty dark and dehydrated looking. The plan now is to provide the patient with some really nice looking crowns to improve aesthetics and restore symmetry. The patient is also keen to brighten the colour of her other teeth so she is going to have a course of teeth whitening carried out before fitting her new crowns.
This image shows the colour of the teeth before we start the whitening process.
Both upper front teeth are really quite dark – the patient is unhappy about this
Whitening teeth is a completely painless procedure that can dramatically improve the appearance of a person’s smile. The beauty about it is that it is so easy to do and causes no damage to the teeth. See a video of me whitening a patient’s teeth here and judge for yourself!
Ok…. back to my case. So, now the patient has completed her teeth whitening and you can see the result below. The teeth are certainly whiter but I remind the patient that the gums are a little inflamed and need extra special attention i.e. meticulous brushing and flossing!
Teeth Whitening completed. Now we have to place crowns on the upper front incisors
Pretty good isn’t it? The patient is delighted with the results so now it is a matter of providing some new crowns to complete the case.
Most dentists will agree this is the trickiest part of the process and requires great skill both from the dentists and dental technician’s perspective. Usually I will select the shade myself but sometimes if I’m really scratching my head on the subject, I might ask my technician to also see the patient in person in order to help select the correct shade.
A couple of weeks later, and the beautiful new crowns are back from my ceramist. Now it is simply a matter of trying them in to make sure the fit and appearance is good. If everyone is happy, we cement them in, check the bite and polish them up.
Here are the photographs taken just after fitting the crowns. I’m happy with the appearance overall but advise my patient that the gums are still *a little red* (mild gum disease) in areas and need extra attention in order to get them back to full health.
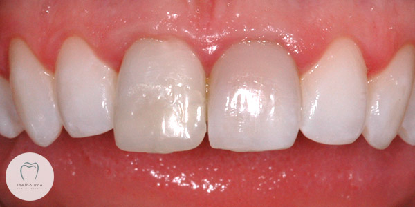
Crowns have just been bonded in place
The patient is delighted with her new smile so I’m happy too!
You know, as a dentist, personally I think this is one of the most rewarding parts of my job – being able to give someone back their smile and their confidence – no feeling beats it!
Hope you enjoyed this case 🙂
Written by Dr. Mark Kelly.Do you have a troublesome front tooth? Would you like our help? If you’re looking for a dentist in Dublin, we’re always happy to accept new patients. You can book an appointment online or call our reception team at 01-6655900. And as always, you can email us at info@shelbourneclinic.ie – during office hours we always aim to respond to queries within 30 minutes.









