“Why do I need dental X-rays?”
Sometimes a patient, particularly a new patient, will ask me this question. From their point of view it’s perfectly understandable. After all, if there’s no pain, and nothing looks wrong, then why take x-rays?
It’s certainly true that we don’t take x-rays out of idle curiosity. To quote from the Irish Dental Council Guidelines, “All radiographic examinations must be justified on an individual patient basis by demonstrating that the benefits to the patient outweigh the potential detriment.” So we don’t take x-rays unless we have a good reason. But if I have a tooth with a very old stained filling, or a very slight shadow or mark that I can’t inspect clearly, then I’m probably going to want an x-ray.
Having recently finished up our video on digital x-rays, I was trying to figure out how to write a follow-up piece to explain how modern x-ray technology benefits our patients, and then the case described below came into our clinic last week. I think this explains it quite nicely:
1. Why is it hurting?
The patient, who I was seeing for the first time, reported significant pain from the upper left teeth. Nothing was obviously visible, no teeth were tender to pressure or biting. Here’s a photo of the area. Two small fillings in this tooth, but it looks fine.
2. Where to look next?
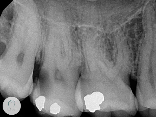
So having run out of other ideas and still unsure which tooth is the suspect, I took a digital x-ray. This lets me see what’s going on between teeth in particular, and under old fillings to some extent. And there we have it, a big dark decayed area on the back of the second molar.
I’ve highlighted the area on the image below as not everyone is used to reading x-rays! The red arrows show the decayed area. The blue arrow points to a separate dark area; that’s the nerve. This decay is way too close for comfort.
3. What’s in there then?
So having found the damage, and numbed the tooth to ensure it’s not sensitive to the water spray, I polished out the existing filling and a small portion of tooth. You can quite clearly see the decayed area now. Unfortunately this decayed area just kept going, and the outlook for this tooth isn’t great.
But go back and look at the first photograph again. There really was no sign of decay visible, and yet now we’re at the point of doing a complicated root canal treatment at a minimum, or quite possibly losing the tooth. Naturally I want to find something like this well before it gets to the point of no return. X-rays aren’t fool-proof either, but they’re another piece of the puzzle that lets us build up as comprehensive a picture as possible of your dental health, helping us make the treatment choices that most benefit you.
(Many thanks to my patient for letting me use the images above.)
Written by Dr. Karl Cassidy.Think you might need x-rays? If you’re looking for a dentist in Dublin, we’re always happy to accept new patients. You can book an appointment online or call our reception team at 01-6655900. And as always, you can email us at info@shelbourneclinic.ie – during office hours we always aim to respond to queries within 30 minutes.













